New research from India reveals that, contrary to long-held scientific beliefs, feeding on trees and shrubs does not provide Asian elephants with more protein than grazing on grass.

First-ever study in India investigates a rare type of cancer caused by a virus

Bengaluru
First-ever study in India investigates a rare type of cancer caused by a virus

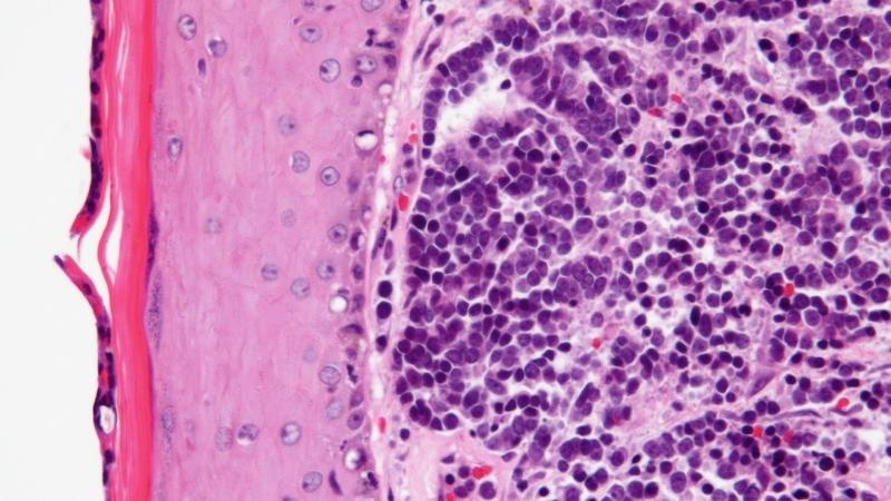
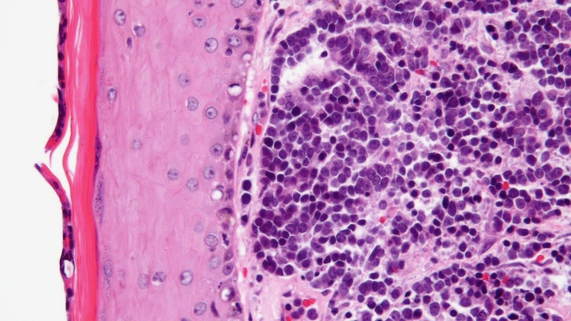
Cancer is a deadly disease not only because of its fatal impact on people suffering from it, but also the challenge in pinpointing the exact cause and treatment for the countless different forms it takes. Smoking, pollution and exposure to radiations are often thought to be the most common causes of cancer, but did you know that a virus can also cause this disease? So far, we know of seven cancer-causing viruses, and one of them is the Merkel Cell Polyomavirus (MCV), a new virus discovered in 2008. It causes Merkel Cell Carcinoma (MCC)—a rare type of cancer that affects skin cells known as Merkel cells. 

In the first-ever study from India, researchers at the National Centre for Biological Sciences (NCBS), Bengaluru and the Tata Memorial Hospital, Mumbai, have analysed how prevalent the Merkel Cell Polyomavirus (MCV) is in India.

"I realised that there weren't many studies looking at this important link in India and so I decided to study it and fill that gap," says Dr Reety Arora.

She is a researcher at NCBS, the corresponding author of the study and had worked with the scientists who first discovered that the polyomavirus could cause Merkel cell cancer. The study, published in the journal Microbial Pathogenesis, was funded by the Wellcome Trust/DBT India Alliance.

Merkel cells, named after the German anatomist Friedrich Merkel who discovered them, are cells commonly found at our fingertips. They send information about the texture and pressure of touch from our skin to the brain. Merkel cell tumours can be caused by damage to the cells due to high levels of UV radiation from sunlight or artificial sources, or an infection by the polyomavirus. While Merkel cell cancer caused by ultraviolet (UV) radiation is known to be more severe, its treatment differs from that caused by a virus infection. Hence, it is vital to understand what causes this cancer before treating it.

"Working on a rare disease caused by an external agent like a virus gives us the advantage to look at intricate, detailed aspects that can then be extrapolated to other cancers. It also gives us a clear target for both diagnosis and therapy", says Dr Arora, talking about the study. Its findings also highlight the need to use appropriate diagnostic tests to understand the cause and severity of Merkel cell cancers.

The researchers analysed samples from 18 patients with Merkel cell cancer to identify if the virus caused them or not. They used two different methods to do so—Polymerase Chain Reaction (PCR) and Immunohistochemistry (IHC). While PCR identifies the presence of viral DNA in the patient's tissue samples, IHC adds specific proteins that can attach to components produced by the virus to the tissue samples. These proteins release coloured compounds when they bind to the viral proteins, which the researchers can then see and confirm the presence of the virus.

Conventionally, the Polymerase Chain Reaction method is used to test for Merkel cell cancer as it is easy and straightforward. However, the immunohistochemistry approach is much more sensitive and useful in identifying the presence of the virus. Hence, using both methods to confirm the diagnosis can prevent false-positives.

"Both the IHC and PCR test in our study can be used in the clinic to determine the viral status of Merkel cell tumours," says Dr Arora.

The study found that seven out of 18 samples were infected by the virus—a first known discovery of Merkel cell cancer associated with a virus in India. It also indicates that more cases of this cancer in India are due to exposure to UV radiation rather than viral infection, and hence are more aggressive. This finding is in contrast with the trend worldwide, where the virus causes almost 80% of cases of Merkel cell cancer. The researchers believe that this could be due to higher UV radiation in sunny, tropical countries like India.

This study is the first step to understanding the distinct forms of Merkel cell cancer, an understudied form of cancer, in India. It promises hopes of appropriate treatment to those affected.


This article has been run past the researchers, whose work is covered, to ensure accuracy.
 

English

Search Research Matters