TIFR

USA

A newly observed gravitational wave event from the collision of two massive, rapidly spinning black holes forces scientists to reconsider how these cosmic giants are born and grow.

Bengaluru

The State of India's Birds 2023 report offers a comprehensive health check for India's avian residents, revealing critical insights into their long-term survival. The report paints a concerning picture for many of India's bird species.

Bengaluru

The research showed that the metabolism of the yeast created fluid flows around them, which helped transport nutrients further than would be possible just by diffusion.

Kolkata

Using computer models, the study found that the Lyapunov exponent, a measure of chaos, scales with the Reynolds number in a specific manner, with a precise value.

Mumbai

The researchers have developed a novel method of using silicon nitride to enhance the efficiency of photonic elements, promising faster, more secure, and energy-efficient technologies for communication and information processing.

Bengaluru

Researchers solve the packing matrix of proteins that control protein complexes on cell surfaces.

Mumbai

In a recent study, researchers have assessed how successful computer simulations are in matching with solar surface observations.

Bengaluru

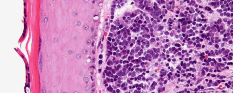
In the first-ever study from India, researchers at the National Centre for Biological Sciences (NCBS), Bengaluru and the Tata Memorial Hospital, Mumbai, have analysed how prevalent the Merkel Cell Polyomavirus (MCV) is in India. 

Mumbai

Researchers at the Tata Institute of Fundamental Research, Mumbai have discovered that tiny RNAs, called microRNAs, help our cells to maintain an equilibrium of energy production during states of upheaval—fasting and feasting.

Bengaluru

Chemogenetics is a technique that uses chemicals to understand how neurons are activated. It manipulates genes to place the neurons under the control of special receptors called DREADDS. Short for Designer Receptors Activated by Designer Drugs, these receptors only bind to an inert chemical called Clozapine-N-Oxide (CNO). In a recent study, researchers from the Tata Institute of Fundamental Research (TIFR), Mumbai, and Jawaharlal Nehru Center for Advanced Scientific Research (JNCASR), Bengaluru, point out specific flaws in this technique.

Search Research Matters